Affordable dental
implant Options

all In One location

Designed for Balance. Built for Beauty.

The Smile You Deserve—Without the Wait or High Cost

With advanced technology, exceptional clinical expertise, and a deep understanding of your goals, our Barsoum Dental Clinic team delivers smile transformations that feel as incredible as they look. Discover how we can turn the smile of your dreams into reality.

Are You a Candidate for Dental Implants?

Most people are great candidates for dental implants! You qualify if:

To Speak With One Of Our Dental Implant Experts, Call Now!

Implants Designed for Your Needs

Single Implants

Replace one
missing tooth.

Dental Bridges

Replace multiple
teeth in a row.

Implant-Supported Dentures

Stabilize your dentures and replace all your missing teeth.

Full-Arch Dental Implants

Replace all
your missing teeth.

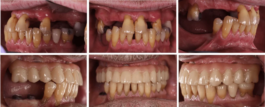
Real Results. Real Confidence.

Dental implants offer various benefits beyond replacing missing teeth. From improved chewing and speech to enhanced confidence and long-term durability, they’re built to improve your quality of life.

Dr. Adam Barsoum

Dr. Adam Barsoum completed his bachelors of dental medicine in 2012. After which he moved to Boston and graduated magna cum laude from Boston University in 2015 and worked in Private Practice. He returned to specialize and completed a 2 year residency at New York University in Dental Implants and Prosthetics in 2018, in 2020 he completed a fellowship at New York University and is now an Adjunct Clinical Assistant Professor at New York University in the Ashman Department of Implants and Periodontics.

Dr. Adam Barsoum is a diplomate of the American Board of Oral Implantology and a diplomate of the International Congress of Oral Implantology. When he is not working in private practice he is working on various research topics or presenting in national and international dental conferences.

Apart from his profession, he is an avid hiker and spends his time exploring much of what this beautiful planet has to offer us, or is building something in his backyard.

Welcome to Barsoum Dental!

Founded in 1945 by the pioneering spirit of the Barsoum family, our clinic has grown from its original roots in Cairo to serve communities in Los Angeles and now New York City. Over the decades, we have had the privilege of treating over 150,000 patients, each receiving personalized care tailored to their unique dental needs.

At Barsoum Dental, we believe in the power of professional growth and a commitment to excellence. Our practice in Manhattan is equipped with the latest in dental technology, ensuring that every treatment from simple cleanings to complex surgeries is performed with the utmost precision and care. We are focused and specializing in Implants during this phase.

Our Purpose:

Superior Treatments... Better Results... At the best price!

Smile Design That Fits You Perfectly

We create personalized treatment plans designed to restore the health, function, and beauty of your smile. Every detail is carefully considered, from your facial symmetry and skin tone to your lifestyle and long-term goals. 

Using high-quality materials that mimic the translucency and color of natural enamel, your new teeth are crafted to look, feel, and function just like real teeth. Each restoration is uniquely designed to complement your features, match your existing teeth, and elevate your overall appearance.

Take the first step towards confidence

In just one simple, no-obligation visit, you’ll learn:

Real Patients. Real Results.

The Best Choice You’ll Ever Make for Your Smile

We understand that cost is a key factor in your decision-making process. However, putting off the dental care you need, like getting full-arch dental implants, can lead to bigger problems like jawbone loss, jaw pain, and extensive, costly treatments in the future.

Full-mouth dental implants aren’t just about replacing teeth—they’re about reclaiming your confidence, comfort, and quality of life. With flexible financing options available, what you’re really investing in is a lasting solution that lets you live a healthy life with a beautiful set of teeth you feel comfortable showing off.

Read What Our Patients Are Saying

Answer The Following Questions To Learn More About Our Pricing And Financing Options.